У Львові вперше врятували життя методом ендоваскулярної тромбаспірації
Про це повідомив доктор, завідувач відділення кардіології лікарні Святого Пантелеймона 1 ТМО м. Львова Василь Процько.
“Сьогодні хочу поділитися історією парних випадків, яка нагадує, заради чого ми обрали медицину.
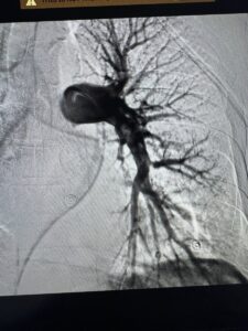
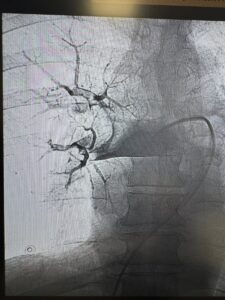
Вчора ввечері до нашої клініки потрапив чоловік із блискавичним розвитком тромбоемболії легеневої артерії — стану, який у багатьох випадках забирає життя за лічені хвилини. Другий – військовий, який лікувався в хірургічному відділенні з приводу мінно-вибухової травми та сьогодні отримав важку масивну тромбоемболію легеневої артерії.
Команда лікарів Першого територіального медичного об’єднання міста Львова прийняла рішення в обох випадках провести ендоваскулярну тромбаспірацію — сучасне, малоінвазивне втручання, що дозволяє механічно видалити тромб із легеневої артерії без відкритої операції. Саме цю методику освоїли нещодавно на конгресі інтервенційних радіологів в Барселоні!
Під рентгенконтролем через судини катетером ми дісталися тромбів й видалили їх спеціальною системою аспірації.
Пацієнти уже через кілька годин з позитивною динамікою, стабілізувались гемодинамічно, і живі — завдяки швидкому рішенню, професійності команди та сучасним технологіям.
Це перші успішні тромбаспірації при ТЕЛА, виконані у нашому об’єднанні.
Ми довели, що Львів має не лише серце, яке допомагає, але й серця, які рятують.
Дякую всій команді інтервенційних кардіологів, анестезіологів, реаніматологів і медсестер, які спільно зробили неможливе.
Крок за кроком ми наближаємо українську медицину до світових стандартів, а Україну до перемоги!”, – йдеться у повідомленні.
