Від коми – до перших самостійних кроків
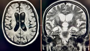
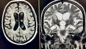
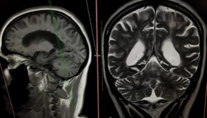
40-річна Соломія не могла самостійно дихати, їсти, розмовляти та ходити. Саме у такому стані вона потрапила у приймальне відділення Університетської лікарні. З 2018 року Соломія страждає на розсіяний склероз, але жодного разу не лікувала це захворювання. Коли вона вже була без свідомості, мама викликала “швидку”
Про це повідомила Університетська лікарня ЛНМУ імені Данила Галицького
Замість Соломії дихав апарат ШВЛ, замість повноцінної їжі вона отримувала спеціальне харчування через назогастральний зонд. Крім неврологічних проблем, у пацієнтки діагностували важке токсичне ураження печінки, тромбоемболію легеневих артерій, тромбофлебіт (запалення стінок вен і формування тромбу у судині) у нозі і запалення вуха.
За 20 днів лікування у Клініці неврології та нейрохірургії Університетської лікарні Соломія буквально ожила – повернулася до свідомості, знову може ковтати і їсти, розмовляє, самостійно дихає і вже робить перші кроки.
Жінка пройшла курс спеціалізованого лікування, в тому числі пульс-терапію.

«Частина змін для Соломії незворотні, але вона ми отримали добрий результат. Після реабілітації пацієнтка зможе ходити і обслуговувати себе сама, супутні патології ми також пролікували, тож вона почувається значно краще. Далі вона отримуватиме хворобомодифікуючу терапію, яка зможе зупинити прогресування хвороби”, – пояснила Мар’яна Бойчук, завідуюча неврологічного відділення.
З Соломією продовжують працювати реабілітологи і спеціалісти Центру розсіяного склерозу і демієлінізуючих захворювань, який функціонує на базі відділення неврології з 1996 року. Саме тут лікують найважчі випадки, підтримують зв’язки з провідними науковими інституціями світу, в яких досліджують це захворювання.
«Коли є підозра на розсіяний склероз чи інше демієлінізуюче захворювання, не відкладайте візит до досвідченого невролога, який спеціалізується на цій групі хвороб. Ми зможемо підтвердити чи спростувати діагноз і якнайшвидше почати лікування. Це хвороба-хамелеон, немає двох однакових пацієнтів з цим діагнозом, тому дуже важливо, щоб не пропустити дебют хвороби і не дати хворобі зруйнувати життя. З цим діагнозом у наші дні можна мати повноцінне життя, якщо вчасно розпочати сучасне хворобомодифікуюче лікування», – переконана керівниця Клініки неврології і нейрохірургії і Центру розсіяного склерозу Університетської лікарні Тетяна Негрич.